Cạo vôi răng sóng siêu âm – An toàn, hiệu quả cao, không gây ê buốt

Cạo vôi răng sóng siêu âm là giải pháp được đánh giá cao nhất trong việc nhanh chóng loại bỏ các mảng bám vôi răng cứng đầu, không lo đau, ê buốt hay mòn men răng. Nha Khoa Sunny ứng dụng kỹ thuật này và sẽ là địa chỉ mang lại kết quả hài lòng cho bạn.

Cạo vôi răng sóng siêu âm là gì?

Vôi răng thực chất là những mảng bám hình thành do vụn thức ăn lâu ngày không được làm sạch, thường bám chặt ở phần tiếp xúc giữa răng và nướu. Không chỉ gây mất thẩm mỹ, khiến cụ cười kém duyên mà vôi răng còn gây ra tình trạng hôi miệng và là nguyên nhân hàng đầu dẫn đến các bệnh lý nha khoa khác như: viêm nha chu, viêm nướu, chảy máu răng, thậm chí là mất răng.

Cạo vôi răng sóng siêu âm - An toàn, hiệu quả cao, không gây ê buốt 1

Cạo vôi răng sóng siêu âm là phương pháp mới, sử dụng thiết bị cạo vôi răng hiện đại

Phương pháp cạo vôi răng truyền thống sẽ sử dụng dụng cụ bằng tay để cạo, tách lớp cao răng cứng chắc khỏi bề mặt cả răng để làm sạch răng. Nhưng với phương pháp lấy cao răng bằng sóng siêu âm, thiết bị cạo vôi răng hiện đại sẽ tạo ra bước sóng siêu âm giúp phá vỡ các liên kết vôi răng, dễ dàng tách bỏ cao răng, mảng bám khỏi bề mặt răng mà không gây đau nhức, ê buốt hay hại men răng.

Hiện cạo vôi răng sẽ được chỉ định áp dụng trong các trường hợp sau:

  • Trường hợp khách hàng có vôi bám nhiều xung quanh chân răng.
  • Mảng bám vôi khiến răng yếu, nhất là các răng đang điều trị bệnh lý nha chu.
  • Răng bọc sứ bị bám vôi răng.

Các chuyên gia nha khoa đặc biệt khuyến cáo khách hàng nên đến thăm khám và thực hiện cạo vôi răng định kỳ 6 tháng/ lần để chăm sóc sức khỏe răng hàm tốt nhất.

Có nên cạo vôi răng sóng siêu âm không?

Vôi răng hiện không thể làm sạch bằng chải răng hay các phương pháp thông thường mà phải sử dụng khí cụ nha khoa chuyên biệt. Trong đó, cạo vôi răng sóng siêu âm đang là giải pháp được đánh giá cao nhất bởi hoạt động dựa vào đầu rung của sóng siêu âm hoạt động ở tần suất an toàn 25Kz cùng với công suất tối ưu nhất từ 10W – 30W.

Cạo vôi răng sóng siêu âm - An toàn, hiệu quả cao, không gây ê buốt 2

Công nghệ cạo vôi răng sóng siêu âm được đánh giá cao về hiệu quả

Kỹ thuật này hiện được ứng dụng tại nhiều địa chỉ nha khoa và mang lại nhưng ưu điểm vượt trội như:

  • Sóng siêu âm hiện đại sẽ phá vỡ liên kết của các mảng vôi, mang lại hiệu quả loại sạch vôi răng cao ngay cả ở những khu vực khó nhất, răng hàm sạch sẽ và sáng màu hơn.
  • Cạo vôi răng được thực hiện rất nhanh chóng, tiết kiệm thời gian và phù hợp với những khách hàng bận rộn nhất.
  • Do thực hiện với sóng siêu âm, hạn chế xâm lấn nên kỹ thuật này rất an toàn, không làm tổn thương về mặt răng hay các mô mềm xung quanh, không gây chảy máu.
  • Cạo vôi răng siêu âm được thực hiện nhẹ nhàng, không lo đau, không có tình trạng ê buốt hay kích ứng nóng lạnh.
  • Sau khi cạo vôi còn hạn chế được tình trạng tái bám của vụn thức ăn. Trước và sau khi cạo vôi răng sẽ thấy hiệu quả rõ rệt trông thấy.

Cạo vôi răng bằng sóng siêu âm có đau không?

Đây là nỗi băn khoăn của rất nhiều người mỗi khi có ý định đi lấy cao răng. Cụ thể quá trình cạo vôi răng siêu âm được thực hiện nhẹ nhàng, không lo đau, không có tình trạng ê buốt hay kích ứng nóng lạnh. Sau khi cạo vôi còn hạn chế được tình trạng tái bám của vụn thức ăn.

Quy trình lấy cao răng bằng máy siêu âm tại Nha Khoa Sunny

Tại Nha Khoa Sunny, cạo vôi răng sóng siêu âm được thực hiện theo quy trình chuẩn, tuân thủ nghiêm ngặt yếu tố vô trùng, cho hiệu quả cao sau khi thực hiện.

Bước 1: Kiểm tra răng hàm và cho tư vấn

Đầu tiên, bác sĩ sẽ kiểm tra, xác định mức độ vôi răng mà khách hàng đang gặp phải, từ đó cho tư vấn về kỹ thuật cạo vôi răng siêu âm cũng như giải đáp mọi thắc mắc có liên quan. Trong bước này, bác sĩ cũng sẽ xác định tần số sóng siêu âm sẽ sử dụng để mang lại hiệu quả cao nhất.

Cạo vôi răng sóng siêu âm - An toàn, hiệu quả cao, không gây ê buốt 3

Bác sĩ thăm khám và xác định mức độ vôi răng mà khách hàng đang gặp

Bước 2: Vệ sinh răng miệng

Vệ sinh răng miệng trước khi cạo vôi răng là bước bắt buộc nhằm đảm bảo yếu tố an toàn, tránh tình trạng nhiễm trùng hay lây nhiễm chéo làm lây lan các bệnh lý nha chu.

Bước 3: Bác sĩ tiến hành cạo vôi răng sóng siêu âm

Sau khi vệ sinh răng miệng, khách hàng sẽ được cạo vôi răng sóng siêu âm với tần số thích hợp. Toàn bộ quá trình này cũng được thực hiện nhẹ nhàng, an toàn tại phòng nha đạt chuẩn và trong điều kiện vô trùng. Ngoài ra, khách hàng cũng sẽ được làm sạch và đánh bóng răng để có hiệu quả cao nhất.

Cạo vôi răng sóng siêu âm - An toàn, hiệu quả cao, không gây ê buốt 4

Khách hàng được lưu ý một số vấn đề trong chăm sóc răng miệng sau khi cạo vôi răng siêu âm

Kết thúc liệu trình, khách hàng cũng sẽ được hướng dẫn cách vệ sinh, chăm sóc răng miệng cũng như hẹn lịch tái khám cụ thể.

Lý do nên cạo vôi răng siêu âm?

Không chỉ áp dụng công nghệ cạo vôi răng sóng siêu âm hiện đại, Nha Khoa Sunny còn đáp ứng cao các tiêu chí khác trong việc mang lại kết quả cạo vôi an toàn, nhanh chóng và hiệu quả, cho hàm răng sạch bóng và sáng khỏe dài lâu.

 

Bác sĩ chuyên môn cao trực tiếp thăm khám

Trực tiếp thăm khám, cho tư vấn và tiến hành cạo vôi răng sóng siêu âm là các bác sĩ chuyên khoa, thao tác nhẹ nhàng, khéo léo, không lo xâm lấn hay ảnh hưởng đến mô mềm xung quanh răng. Hơn nữa, các bác sĩ Nha Khoa còn cho khách hàng những lời khuyên bổ ích trong chăm sóc răng miệng, cho hàm răng chắc khỏe.

Cơ sở vật chất hiện đại

Là một trong số ít các địa chỉ được xây dựng và hoạt động theo mô hình bệnh viện quốc tế, Nha Khoa Sunny hiện đáp ứng cao về hệ thống cơ sở vật chất, phòng nha. Vì vậy mà khi thực hiện cạo vôi răng tại đây, khách hàng sẽ được trải nghiệm dịch vụ 5 sao với những ưu điểm vượt trội mà không phải nơi nào cũng đáp ứng được.

Cạo vôi răng sóng siêu âm - An toàn, hiệu quả cao, không gây ê buốt 5

Cạo vôi răng siêu âm được thực hiện tại phòng nha đạt chuẩn, vô trùng an toàn

Đảm bảo vô trùng

Bên cạnh đó, Nha Khoa Sunny còn đặc biệt chú trọng trong yếu tố vô trùng khi trang bị máy phun sương, bộ lò hấp vô trùng dụng cụ. Mỗi khách hàng còn được sử dụng một bộ tay khoan và dụng cụ riêng nên rất an toàn, đạt sự hài lòng cao về chất lượng dịch vụ nhận được.

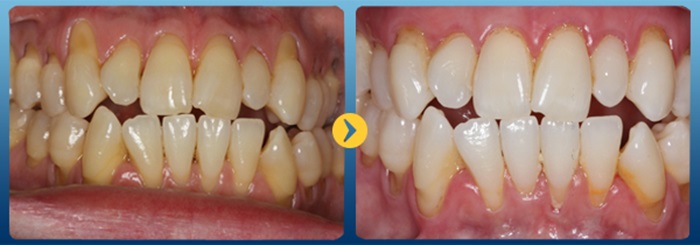
Hình ảnh khách hàng trước và sau khi cạo vôi răng sóng siêu âm tại Nha Khoa Sunny
* Lưu ý: Hiệu quả phụ thuộc vào tình trạng răng miệng từng người

Công nghệ cạo vôi răng sóng siêu âm mà Nha Khoa Sunny đang áp dụng sẽ là giải pháp mang lại cho bạn hàm răng sạch, sáng bóng và bền chắc dài lâu. Chúng tôi mở cửa vào tất cả các ngày trong tuần và hân hạnh được đón tiếp, phục vụ quý khách hàng một cách chu đáo nhất!

Gọi điện thoại
0862615479
Chat Zalo